De Menstruele Cyclus: Een Begin van Nieuw Leven
De menstruele cyclus is een complex proces dat begint met de groei en rijping van een nieuwe eicel, omgeven door een blaasje dat een follikel wordt genoemd. In reactie op een piek in de oestrogeenproductie scheidt de hypofyse plotseling veel luteïniserend hormoon (LH) af. Een rijpe follikel puilt duidelijk uit de eierstok en is goed zichtbaar met het blote oog, bijvoorbeeld tijdens een kijkoperatie in de buik.

Ovulatie: De Vrijlating van de Eicel
De eisprong, ook wel ovulatie genoemd, is het moment waarop de rijpe follikel barst en de eicel vrijkomt. Kort voor de eisprong plooien de eileider en de franjes aan het uiteinde ervan zich rond de eierstok waar de rijpe eicel klaarzit. Het transport van de eicel vanuit de eierstok naar het middelste, bredere deel van de eileider, de ampulla, gebeurt in minder dan zeven uur.
Als de eicel na de eisprong niet wordt bevrucht, dan geraakt het gele lichaam snel uitgeput. Rond de 13e dag na de eisprong neemt de progesteronproductie in dat geval sterk af. Het baarmoederslijmvlies sterft af en wordt afgestoten. Het begin van de menstruatie markeert ook de aanvang van een nieuwe cyclus, wat aangeeft dat er geen zwangerschap is.
Het Gele Lichaam en Progesteron
De resten van de follikel ondergaan na de eisprong een verandering. Ze vormen zich om tot een geel lichaam (corpus luteum), onder invloed van het luteïniserend hormoon. Het gele lichaam maakt op zijn beurt progesteron aan, een hormoon dat het baarmoederslijmvlies stimuleert om zich klaar te maken voor de innesteling van de bevruchte eicel.
Zoals de naam progesteron al suggereert, onderhoudt dit hormoon de zwangerschap (progestatie). Als de eicel bevrucht is, gaat het ontstane embryo hCG (humaan choriongonadotrofine) produceren, waardoor het gele lichaam langer zal doorgaan met de productie van progesteron. Na verloop van tijd neemt het endometrium de progesteronproductie over. Zonder die productie van hCG gaat het gele lichaam te gronde en sterft het, waarna het door progesteron gevormde endometrium weer afsterft op een gecontroleerde manier (apoptose).

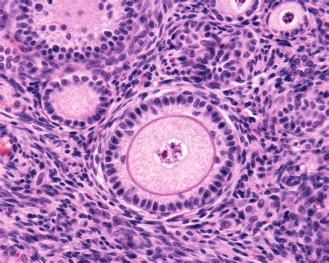
De Follikel: Groei en Functie
De ovariële follikel, ook wel graaffollikel of eiblaasje genoemd, is het geheel van de eicel en de omringende cellagen, die de eicel van voeding voorzien. Het groeien van de eicel en daarmee het oprekken van de omringende cellaag onder invloed van oestrogeen is de vitellogenese (dooiervorming). De cellen van de follikel nemen vetdruppels op uit het bloed en transporteren die naar de eicel.
Bij mensen valt de grootte van de eicel nog mee, maar de dooier van een kippenei bestaat ook maar uit één cel. Bij vissen gaat een groot gedeelte van het vet uit de lever en de spieren in de groeiende eicellen zitten. Zonder hulp van buitenaf zou één cel nooit zo snel kunnen groeien en zo groot kunnen worden.
Ontwikkeling van de Follikel in de Cyclus
- Onrijpe follikel (met eicel) uit de eierstokken begint zich te ontwikkelen (rijpen). Per cyclus rijpt één follikel (en dus ook één eicel). De follikel groeit uit tot een blaasje (rijpe follikel). De groei van de follikel duurt ongeveer 14 dagen. Groei wordt geregeld door een hormoon.
- De resten worden opgenomen door de wand van de eileider.
- Ovulatie: de eisprong vindt plaats. De vorming van hormonen door de eierstok stopt tijdelijk.
Tijdens de rijping vindt meiose plaats, waarbij de cel 23 chromosomen krijgt. De eicel bevat veel reservevoedsel.
Bevruchting en Innesteling
Ontmoet een eicel kort na de eisprong een zaadcel, dan kan bevruchting plaatsvinden in de eileider. In een volgende fase smelten ook de celkernen samen tot één celkern. Tegen de tiende dag na de bevruchting is de innesteling helemaal afgerond. Het embryo en het baarmoederslijmvlies scheiden tijdens de toenadering, de vasthechting en de opname van het embryo verschillende stoffen af die dit proces tot een goed einde moeten brengen. Een van die hormonen is het humaan choriongonadotrofine (hCG).
Het transport van de bevruchte eicel door de eileider verloopt via celdeling: 2 cellen → 4 cellen → 8 cellen enzovoort. Dit vormt een bolletje cellen dat later een blaasje met vocht wordt. Dit heet dan een embryo, waarna de organen gaan groeien.
Vruchtbaarheid en Zwangerschapskans
Recent onderzoek leert dat de vruchtbare periode van de cyclus sterk kan schommelen, zelfs bij vrouwen met een heel regelmatige cyclus. Er zijn maar weinig dagen van de cyclus waarop een vrouw vruchtbaar is. Zonder rekening te houden met de dag van de cyclus of het moment van de eisprong heeft men de grootste kans op bevruchting wanneer men om de 2 dagen, dus ongeveer 2 tot 3 maal per week seks heeft. Koppels die minder dan een keer per week vrijen, hebben veel minder kans op een zwangerschap dan koppels die geregeld seks hebben. Die kans wordt geschat op zo'n 16% op zes maanden tijd.
Vrouwen die geen voorbehoedsmiddel gebruiken, en die gedurende zeker 1 week voor de eisprong niet meer hebben gevrijd, blijken soms - totaal onverwacht - zwanger te zijn. Dat is inderdaad mogelijk omdat zaadcellen soms vrij lang kunnen overleven in de baarmoederhals en de eileiders. Op beide plaatsen worden vocht en voedingsstoffen afgescheiden die de zaadcellen in leven helpen houden.
Menstruatiecyclus
Fysiologie van de Vrouw en Man
Oestrogeen zorgt voor de vrouwelijke secundaire geslachtskenmerken en zorgt voor het dikker worden van het baarmoederslijmvlies. De eileider is de plaats waar de bevruchting kan plaatsvinden. De opening van de vagina ligt tussen de opening van de urinebuis (uitgang van de blaas) en de anus (uitgang van de darmen). De vagina bevat tastzintuigjes en de grootte ervan verschilt per persoon.
Testosteron zorgt voor de mannelijke secundaire geslachtskenmerken en is nodig voor een goede kwaliteit van de zaadcellen. Zaadcellen worden gevormd door meiose, waarbij elke zaadcel 23 chromosomen bevat. Ze hebben een zweepstaart, kunnen zich voortbewegen en leven na een zaadlozing 24 tot 48 uur.
De penis vult zich met bloed als de man opgewonden raakt. Als de penis stijf is, sluit de prostaat de urineblaas af. De zaadleiders komen hierin uit. De grootte van de penis verschilt per persoon.
Zwangerschap en Geboorte
De voeding van het embryo verloopt via de placenta (moederkoek). Zuurstof gaat van moeder naar kind, en afvalstoffen van kind naar moeder. De placenta (met vruchtvliezen en navelstreng) wordt na de geboorte van het kind naar buiten geduwd.
Tijdens de bevalling, meestal rond de 16e week, vindt de ontsluiting plaats. Vruchtwater komt vrij. Het kind wordt door persweeën naar buiten geduwd. Vervolgens wordt de placenta naar buiten geduwd. Het kind kan zich daarna zelfstandig ontwikkelen.
Methoden om Zwangerschap te Voorkomen en Ziektepreventie
Er zijn methoden om zwangerschap te voorkomen. Sommige bevatten hormonen en zorgen voor het uitblijven van de ovulatie. Daarnaast zijn er methoden die ook bescherming bieden tegen SOA's (Seksueel Overdraagbare Aandoeningen). Aandoeningen die door seksueel contact overgebracht worden, kunnen worden voorkomen of afgebroken.
tags: #ontwikkeling #van #een #follikel #biologie